診断・治療装置のご紹介
当センターには心臓や冠動脈を診断したり、また効果的に治療するのに大変有用な最先端画像技術を駆使した設備や装置を完備しています。
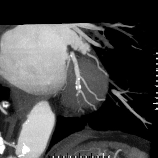
64列マルチスライスCT
技術の進歩により、最近ではCTで心臓領域の検査が可能になりました!
その臨床意義が高いことは既によく知られ多くの病気の発見・経過観察に用いられていましたが、唯一、心臓だけがその恩恵を得ることができていませんでした。その理由は、心臓は常に活発に動いている臓器だからです。例えば止まっている車はキレイに写真を収めることができても、高速で走っている車を撮影しようとすると、写真はどうしてもブレてしまいます。これと同じことが心臓CT検査でも生じ、以前の技術では結果的に実際に診断するには役に立たない、ということになっていました。しかし、最近のCT装置の進歩は著しく、動いている心臓の、さらに直径1mm程度の細い血管でもきれいな画像として描出することが可能となってきました。
当センターの64列ボリュームCTは、心臓全体※の撮影を5心拍5秒程度で完了することの出来る世界最速の64列CTです。従来のCTに比べ、撮影時間が短く、半分以下の造影剤投与量で心臓の撮影を可能にしています。これにより、息止め(撮影時は息を止めていただきます。)が難しい高齢の患者様や、状態があまりよくない(不安定狭心症をお持ちの患者様や腎機能の悪い)患者様が受けられる負担も軽減できます。
※12cmと仮定
また心臓に栄養を送る血管(冠動脈)の治療をした人は、定期的にカテーテル検査を受けなければいけなかったのですが、現在当センターではカテーテル検査のかわりにこの64列マルチスライスCTで検査を行っています。通常の造影検査に比べ苦痛が少なく、また安心して検査を受けることが可能です。
| 当センターのCT撮影技術及び撮像データの解析 |
|---|
| 現在、当センターでは撮影したCT画像を元に循環器医が患者様の心臓の状態を読影し、診断していますが、これを可能にしているのが高画質の検査結果データを提供してくれる高い技術を持った放射線技師が当センターに在籍してくれているおかげです。つまり、当センターには腕のいい撮影カメラマンと現像屋さんがいるということなのです。 |
冠状動脈バイパス手術後の経過観
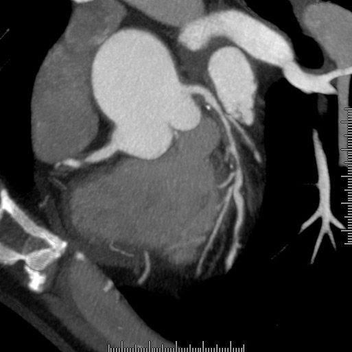
手術後の患者様の経過を下記の通り観察できます。心臓の裏側ももちろん診断可能です。


様々な画像表示処理方法を用い診断します。

ボリュームレンダリング

造影検査画像ビュー
画像は慢性完全閉塞症例。

造影検査では見えないプラークの分布もCTでは確認することできます。(白い部分が造影剤)

ステントが植え込まれた部分をアップにして形状評価も可能です


循環器デジタル血管撮影装置
血管撮影(造影)装置とは動脈に造影剤を注入し、その流れる様子を動画で撮影する装置です。
当センターに設置されているデジタル血管撮影装置は下記の通り、様々な特徴を持った最新鋭です。
●世界に先駆けて、X線入力信号を電気信号に直接変える直接変換方式フラットパネルディテクタという技術を用いた造影診断装置です。これまで描出が困難であった微細血管やPCIデバイス(ステント、ガイドワイヤ)などの視認性が飛躍的に向上しています。また椎体・肺野・横隔膜などX線画像の輝度が大きく異なる部位のコントラストを均一化した上で血管やデバイスを抽出し強調する先進のデジタルフィルタも搭載しています。
●検査台や患者様を動かすことなく腕の透視撮影が可能なため、患者様にとって術後の負担の少ない、腕から行うカテーテルをよりやりやすく行える独自の構造になっています。
●Cアームという血管を撮影する為のパネルの回転軸ですが、他社製の装置とは違い、最高25゚/秒でのポジショニングが可能で、検査台に搭載した専用コントローラにより術者はワンハンドで直感的にコントロールできるようになっています。これはある撮影方向の血管をすぐに見たいと思う術者の要求を満たしてくれるので術中に感じるストレスの軽減につながっています。
●効率よく被ばく量を低減できる低線量パルス透視と、画像に関与しない余分な軟X線を除去するMBH(Multi Beam Hardening)フィルタをバランス良く組みあわせ、システム全体でX線被ばく量を低減しています。

血管内超音波画像診断装置(IVUS/血管内エコーともいいます。)
像診断とは、超音波送受信装置(トランスデューサー)を搭載した径1mm弱程の細いカテーテルを血管内に挿入し、超音波を発射して血管の健康状態を血管の中から診断する方法です。血管の中を流れる造影剤の様子を外側から撮影した血管撮影の診断方法とは異なり、IVUSはどんな動脈硬化か、どのぐらいの長さの動脈硬化なのか、血管の太さは何mmか、血液が流れる空間は何mmなのか、といった血管撮影では得られない情報を 事細かに画面に表示してくれます。当センターには血管内超音波画像診断の分野において世界的に有名な当院心臓センター長の角辻暁がいること、またそのIVUSを用いて行うインターベンション治療のノウハウを追求している角辻とその眼差しを受け継ぐ医師らが勤務しているということから、世界中のすべての血管内超音波画像診断装置が常時完備されています。当センターでは、それぞれの機種が持っている下記の様な特徴をうまく活かすことにより、患者様の血管の状態に合わせて機種を使い分け使用するという、大変質の高い診断環境が整えられております。

冠動脈を輪切りにした画像がIVUS/血管内エコー画像である。 もっと広かったであろう血液の流れる空間がプラークの蓄積によって狭められ、動脈硬化が進行している様を手に取るように映し出してくれている。

●大変高画質な血管内の画像を提供してくれるのと、血管内の動脈硬化の状態や血管を長軸上に表示してくれる等、動脈効果の性状把握において大変有用な情報を提供してくれる血管内超音波画像診断装分野におけるパイオニア的存在の装置です。

●この機種の特徴は、血管内に存在する動脈硬化を色分け表示してくれることにより、更に詳しい動脈硬化の情報を提供してくれることです。現在この色分け表示により、患者様の動脈硬化の病態が今後どうなるか、心筋梗塞を起こす危険な動脈硬化なのか?等を予測することが可能かどうかという研究も始まっています。

●この装置に接続する超音波カテーテルは、曲がった血管内での通過性に優れているのが特徴です。

循環器用超音波診断装置
超音波とは周波数が20kHz以上の人間の耳には聞こえない高い周波数の音波のことです。超音波は体に当てることにより体内を伝搬したり反射したりするのでそれらを利用して画像化するものが超音波診断装置です。
循環器用超音波診断装置による心臓超音波検査は簡便に心臓の形態、動態、機能および血流情報をリアルタイムで非侵襲的に得ることができ、また超音波は産科での胎児の観察に代表されるように体への影響もなく、日常検査や冠動脈治療後の評価や経過観察など循環器領域では必須の検査となっています。
当院では最新鋭の循環器用超音波診断装置を利用し、心臓の大きさや弁の逆流・狭窄、周囲の血管や心筋の動きなどを観察し検査を行っています。

診断・治療装置のご紹介
当センターには心臓や冠動脈を診断したり、また効果的に治療するのに大変有用な最先端画像技術を駆使した設備や装置を完備しています。
64列マルチスライスCT
技術の進歩により、最近ではCTで
心臓領域の検査が可能になりました!

その臨床意義が高いことは既によく知られ多くの病気の発見・経過観察に用いられていましたが、唯一、心臓だけがその恩恵を得ることができていませんでした。その理由は、心臓は常に活発に動いている臓器だからです。例えば止まっている車はキレイに写真を収めることができても、高速で走っている車を撮影しようとすると、写真はどうしてもブレてしまいます。これと同じことが心臓CT検査でも生じ、以前の技術では結果的に実際に診断するには役に立たない、ということになっていました。しかし、最近のCT装置の進歩は著しく、動いている心臓の、さらに直径1mm程度の細い血管でもきれいな画像として描出することが可能となってきました。
当センターの64列ボリュームCTは、心臓全体※の撮影を5心拍5秒程度で完了することの出来る世界最速の64列CTです。従来のCTに比べ、撮影時間が短く、半分以下の造影剤投与量で心臓の撮影を可能にしています。これにより、息止め(撮影時は息を止めていただきます。)が難しい高齢の患者様や、状態があまりよくない(不安定狭心症をお持ちの患者様や腎機能の悪い)患者様が受けられる負担も軽減できます。
※12cmと仮定
また心臓に栄養を送る血管(冠動脈)の治療をした人は、定期的にカテーテル検査を受けなければいけなかったのですが、現在当センターではカテーテル検査のかわりにこの64列マルチスライスCTで検査を行っています。通常の造影検査に比べ苦痛が少なく、また安心して検査を受けることが可能です。
| 当センターのCT撮影技術及び撮像データの解析 |
|---|
| 現在、当センターでは撮影したCT画像を元に循環器医が患者様の心臓の状態を読影し、診断していますが、これを可能にしているのが高画質の検査結果データを提供してくれる高い技術を持った放射線技師が当センターに在籍してくれているおかげです。つまり、当センターには腕のいい撮影カメラマンと現像屋さんがいるということなのです。 |
冠状動脈バイパス手術後の経過観
手術後の患者様の経過を下記の通り観察できます。心臓の裏側ももちろん診断可能です。


様々な画像表示処理方法を用い診断します。

ボリュームレンダリング

造影検査画像ビュー
画像は慢性完全閉塞症例。

造影検査では見えないプラークの分布もCTでは確認することできます。(白い部分が造影剤)

ステントが植え込まれた部分をアップにして形状評価も可能です


循環器デジタル血管撮影装置
血管撮影(造影)装置とは動脈に造影剤を注入し、その流れる様子を動画で撮影する装置です。
当センターに設置されているデジタル血管撮影装置は下記の通り、様々な特徴を持った最新鋭です。
●世界に先駆けて、X線入力信号を電気信号に直接変える直接変換方式フラットパネルディテクタという技術を用いた造影診断装置です。これまで描出が困難であった微細血管やPCIデバイス(ステント、ガイドワイヤ)などの視認性が飛躍的に向上しています。また椎体・肺野・横隔膜などX線画像の輝度が大きく異なる部位のコントラストを均一化した上で血管やデバイスを抽出し強調する先進のデジタルフィルタも搭載しています。
●検査台や患者様を動かすことなく腕の透視撮影が可能なため、患者様にとって術後の負担の少ない、腕から行うカテーテルをよりやりやすく行える独自の構造になっています。
●Cアームという血管を撮影する為のパネルの回転軸ですが、他社製の装置とは違い、最高25゚/秒でのポジショニングが可能で、検査台に搭載した専用コントローラにより術者はワンハンドで直感的にコントロールできるようになっています。これはある撮影方向の血管をすぐに見たいと思う術者の要求を満たしてくれるので術中に感じるストレスの軽減につながっています。
●効率よく被ばく量を低減できる低線量パルス透視と、画像に関与しない余分な軟X線を除去するMBH(Multi Beam Hardening)フィルタをバランス良く組みあわせ、システム全体でX線被ばく量を低減しています。

血管内超音波画像診断装置(IVUS/血管内エコーともいいます。)
像診断とは、超音波送受信装置(トランスデューサー)を搭載した径1mm弱程の細いカテーテルを血管内に挿入し、超音波を発射して血管の健康状態を血管の中から診断する方法です。血管の中を流れる造影剤の様子を外側から撮影した血管撮影の診断方法とは異なり、IVUSはどんな動脈硬化か、どのぐらいの長さの動脈硬化なのか、血管の太さは何mmか、血液が流れる空間は何mmなのか、といった血管撮影では得られない情報を 事細かに画面に表示してくれます。当センターには血管内超音波画像診断の分野において世界的に有名な当院心臓センター長の角辻暁がいること、またそのIVUSを用いて行うインターベンション治療のノウハウを追求している角辻とその眼差しを受け継ぐ医師らが勤務しているということから、世界中のすべての血管内超音波画像診断装置が常時完備されています。当センターでは、それぞれの機種が持っている下記の様な特徴をうまく活かすことにより、患者様の血管の状態に合わせて機種を使い分け使用するという、大変質の高い診断環境が整えられております。

冠動脈を輪切りにした画像がIVUS/血管内エコー画像である。 もっと広かったであろう血液の流れる空間がプラークの蓄積によって狭められ、動脈硬化が進行している様を手に取るように映し出してくれている。

●大変高画質な血管内の画像を提供してくれるのと、血管内の動脈硬化の状態や血管を長軸上に表示してくれる等、動脈効果の性状把握において大変有用な情報を提供してくれる血管内超音波画像診断装分野におけるパイオニア的存在の装置です。

●この機種の特徴は、血管内に存在する動脈硬化を色分け表示してくれることにより、更に詳しい動脈硬化の情報を提供してくれることです。現在この色分け表示により、患者様の動脈硬化の病態が今後どうなるか、心筋梗塞を起こす危険な動脈硬化なのか?等を予測することが可能かどうかという研究も始まっています。

●この装置に接続する超音波カテーテルは、曲がった血管内での通過性に優れているのが特徴です。

循環器用超音波診断装置
超音波とは周波数が20kHz以上の人間の耳には聞こえない高い周波数の音波のことです。超音波は体に当てることにより体内を伝搬したり反射したりするのでそれらを利用して画像化するものが超音波診断装置です。
循環器用超音波診断装置による心臓超音波検査は簡便に心臓の形態、動態、機能および血流情報をリアルタイムで非侵襲的に得ることができ、また超音波は産科での胎児の観察に代表されるように体への影響もなく、日常検査や冠動脈治療後の評価や経過観察など循環器領域では必須の検査となっています。
当院では最新鋭の循環器用超音波診断装置を利用し、心臓の大きさや弁の逆流・狭窄、周囲の血管や心筋の動きなどを観察し検査を行っています。













