放射線科の概要
高度先進医療の一翼を担うのが、放射線部門の役割です。
当院ではIVR専門医である非常勤医師1名、常勤の読影医が1名、読影専任として12名の非常勤医師と30名の診療放射線技師が勤務しています。
■資格取得者一覧
| 資格名称 | 取得者数 |
|---|---|
| 検診マンモグラフィ撮影認定診療放射線技師 | 7人 |
| 第一種放射線取扱主任者 | 3人 |
| 第二種放射線取扱主任者 | 1人 |
| 放射線治療専門放射線技師 | 2人 |
| 放射線治療品質管理士 | 2人 |
| 日本X線CT専門技師 | 1人 |
| 救急撮影認定技師 | 1人 |
| 肺がんCT検診認定技師 | 2人 |
| 日本血管撮影インターベンション専門診療放射線技師 | 2人 |
| 医用画像情報精度管理士 | 3人 |
| 臨床実習指導教員 | 1人 |
| 放射線機器管理士 | 2人 |
| 放射線管理士 | 1人 |
| 画像手術支援認定診療放射線技師 | 2人 |
| 医療安全管理者 | 4人 |
| Ai認定診療放射線技師 | 1人 |
| 医療経営士(2級) | 1人 |
検査機器として、CT2台、MRI2台、心臓カテーテル専用装置2台、多目的血管装置1台、核医学(SPECT)1台、をはじめ一般X線装置2台、X線TV装置1台、マンモグラフィー装置、骨密度測定装置など診断装置が24時間体制で稼動しています。
■放射線治療機器トモセラピー
放射線照射装置にヘリカルCT原理を応用して連続的に回転させ、患者様の乗った寝台を移動して放射線治療を行います。照射範囲と照射線量を回転により変化させることによって変形した照射範囲が緻密に設定でき、正常組織のダメージを減らしながら腫瘍組織を正確に分離した放射線治療が可能となります。頭部ではガンマナイフ装置と同等の治療効果が得られると共に、頸部(咽頭がんなど)・胸部(肺がんなど)や腹部(肝臓がんや前立腺がんなど)にも適応される放射線治療装置です。


■マンモグラフィー
高度な画像処理技術と画素サイズ50µmの直接変換型FPD搭載している乳がん検査用デジタルX線撮影装置です。乳房の形状、乳房外組織(胸筋など)や乳腺組織の状態などマンモグラフィ画像の特徴を自動的に抽出・解析し、診断に最適な濃度とコントラストに調整する画像処理技術により、体型の個人差や撮影時のポジショニングの影響を受けることのない安定した画像が提供されます。

■一般撮影
一般撮影は骨折・関節痛などによる四肢の撮影のほか、胸腹部・椎体などの体幹部から全身の撮影を行なえます。より詳しく検査するために、部位によっては多方向から撮影し診断価値の高い画像提供を行なっております。また今回新たにFPD(フラット・パネル・ディテクタ)を導入し、従来のものより短時間でさらに高精細な画像を提供できるようになりました。さらにFPDの特徴として従来のものより被ばくを低減することができます。

■骨密度検査
骨密度の不足から骨粗鬆症やそれに伴う骨折など高齢の女性に多く見られます。予防のためにも骨密度を知ることが第一歩です。骨密度測定装置は腰椎(脊椎:せきつい)と大腿骨頚部(あしのつけ根)の骨密度を計測します。これは『骨粗鬆症の予防と治療ガイドライン』に推奨される部位で骨密度測定を行う事により診断・治療の精度が向上されるように成りました。

■x線テレビ
X線で人体を透視しながら検査を行ないます。脱臼や骨折などの整復からバリウムを用いた胃・大腸などの消化器管の検査や他にもX線に写る様々な薬剤を用いて尿路系、肝胆道系、脊髄等の検査も行なえます。一般撮影と同じくFPDを搭載しております。

■キャノンメディカルシステムズ マルチスライスCT 320列
幅広い検出器をもつ本機は従来装置に比べ、画質の向上、被ばくの低減、検査時間の短縮が可能であり、また頭部血管領域や心臓血管領域においては造影剤量も低減し、患者様への負担を減らすことを実現しました。

当院では、320列と80列の二台のマルチスライスCTが稼動しています。従来の頭部、胸部、腹部CTに加えて心臓(冠動脈)CTや脳血管CTなど三次元CTの件数が増加しています。
検査は、7〜10秒の息止めが必要で検査時間は約20分です。脳血管CTでは、複雑な脳血管をより立体的に観察するには造影剤を使用して静脈との重なりの少ない動脈像を得ます。
主に脳動脈瘤の有無、位置、サイズ・形状など。

■MRI
1.5テスラと3テスラの二台が稼動しています。
頭部・腹部・脊椎など人体の断層像をあらゆる角度で撮影できすべての領域の診断に欠かせない有用な装置です。
最近では、造影剤を用いて濃度や信号の経時的変化から脳循環を解析する検査法(MRパフュージョン)やMRIでの認知症検査(VSRAD)も増えつつあります。
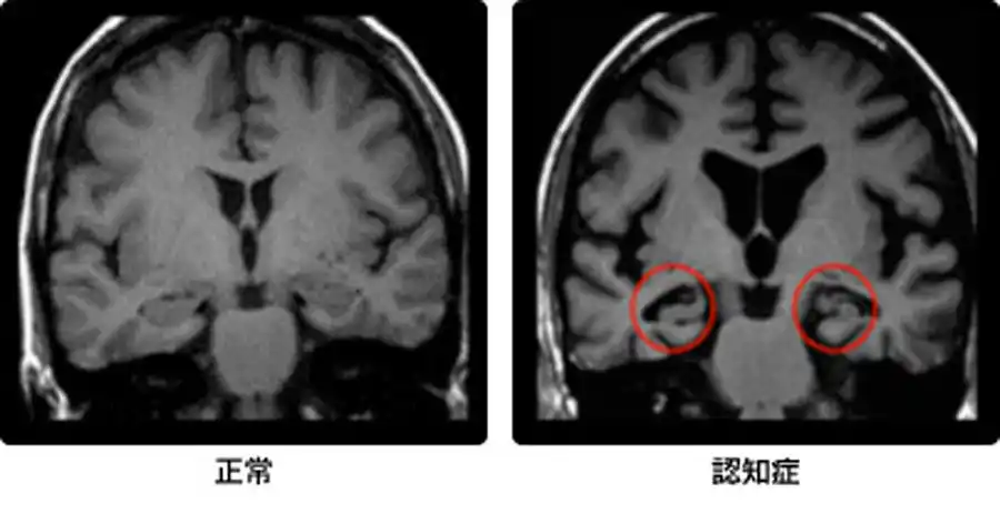
VSRADとは、早期アルツハイマー型認知症診断支援システムの略語で、人の記憶に関する役目を果たす海馬の萎縮程度を評価するMRI画像処理、解析ソフトのことを言います。


認知症の画像を見ると、左の正常より黒い隙間が目立ち、脳が萎縮していることが分かります。
早期で軽度の萎縮の場合、通常のMRI検査では評価が難しいとされていました。VSRADでは脳の中でも記憶を担当する海馬がどの程度萎縮しているか、%表示し、萎縮程度をカラー表示することによって、軽度の萎縮も評価しやすくし、認知症の早期診断を補助することができます。

■RI(核医学検査)
きわめて微量の放射線を発生する「放射性医薬品」を体内に投与して特定の臓器・組織に集まる性質を利用し、そこから出る放射線を特殊なカメラを用いて画像にする検査で主に血流量や代謝機能を調べます。
◎脳血流シンチ・心筋シンチ・骨シンチ・腫瘍シンチなど。
NM/CT850は吸収補正用CT搭載SPECT装置です。患者様に投与したRI製剤から放出される、微量のγ線(ガンマ線)を収集した画像と、CT画像とをフュージョンし、高画質で精度の高い画像を提供します。

■心臓カテーテル検査
循環器科が扱う狭心症や心筋梗塞等の虚血性心疾患の患者さんの検査あるいは血管拡張術・ステント留置術・血栓溶解療法等の治療を行います。また不整脈科による心筋焼灼術(カテーテルアブレーション)も行われます。


■DSA(多目的用血管撮影)
この装置では頭部・頚部・腹部等全身の血管を造影することができます。X線信号をデジタル化し造影剤注入前と注入後の画像を差し引きし血管のみが鮮明に描出され少ない造影剤で検査ができリアルタイムで撮影像が見られます。
脳血管造影や腹部血管造影やシャント静脈造影とそれらの塞栓術や拡張術を施行します。


放射線科の概要
高度先進医療の一翼を担うのが、放射線部門の役割です。
当院ではIVR専門医である非常勤医師1名、常勤の読影医が1名、読影専任として12名の非常勤医師と30名の診療放射線技師が勤務しています。
■資格取得者一覧
| 資格名称 | 取得者数 |
|---|---|
| 検診マンモグラフィ撮影認定診療放射線技師 | 7人 |
| 第一種放射線取扱主任者 | 3人 |
| 第二種放射線取扱主任者 | 1人 |
| 放射線治療専門放射線技師 | 2人 |
| 放射線治療品質管理士 | 2人 |
| 日本X線CT専門技師 | 1人 |
| 救急撮影認定技師 | 1人 |
| 肺がんCT検診認定技師 | 2人 |
| 日本血管撮影インターベンション専門診療放射線技師 | 2人 |
| 医用画像情報精度管理士 | 3人 |
| 臨床実習指導教員 | 1人 |
| 放射線機器管理士 | 2人 |
| 放射線管理士 | 1人 |
| 画像手術支援認定診療放射線技師 | 2人 |
| 医療安全管理者 | 4人 |
| Ai認定診療放射線技師 | 1人 |
| 医療経営士(2級) | 1人 |
検査機器として、CT2台、MRI2台、心臓カテーテル専用装置2台、多目的血管装置1台、核医学(SPECT)1台、をはじめ一般X線装置2台、X線TV装置1台、マンモグラフィー装置、骨密度測定装置など診断装置が24時間体制で稼動しています。
■放射線治療機器トモセラピー
放射線照射装置にヘリカルCT原理を応用して連続的に回転させ、患者様の乗った寝台を移動して放射線治療を行います。照射範囲と照射線量を回転により変化させることによって変形した照射範囲が緻密に設定でき、正常組織のダメージを減らしながら腫瘍組織を正確に分離した放射線治療が可能となります。頭部ではガンマナイフ装置と同等の治療効果が得られると共に、頸部(咽頭がんなど)・胸部(肺がんなど)や腹部(肝臓がんや前立腺がんなど)にも適応される放射線治療装置です。


■マンモグラフィー
高度な画像処理技術と画素サイズ50µmの直接変換型FPD搭載している乳がん検査用デジタルX線撮影装置です。乳房の形状、乳房外組織(胸筋など)や乳腺組織の状態などマンモグラフィ画像の特徴を自動的に抽出・解析し、診断に最適な濃度とコントラストに調整する画像処理技術により、体型の個人差や撮影時のポジショニングの影響を受けることのない安定した画像が提供されます。

■一般撮影
一般撮影は骨折・関節痛などによる四肢の撮影のほか、胸腹部・椎体などの体幹部から全身の撮影を行なえます。より詳しく検査するために、部位によっては多方向から撮影し診断価値の高い画像提供を行なっております。また今回新たにFPD(フラット・パネル・ディテクタ)を導入し、従来のものより短時間でさらに高精細な画像を提供できるようになりました。さらにFPDの特徴として従来のものより被ばくを低減することができます。

■骨密度検査
骨密度の不足から骨粗鬆症やそれに伴う骨折など高齢の女性に多く見られます。予防のためにも骨密度を知ることが第一歩です。骨密度測定装置は腰椎(脊椎:せきつい)と大腿骨頚部(あしのつけ根)の骨密度を計測します。これは『骨粗鬆症の予防と治療ガイドライン』に推奨される部位で骨密度測定を行う事により診断・治療の精度が向上されるように成りました。

■x線テレビ
X線で人体を透視しながら検査を行ないます。脱臼や骨折などの整復からバリウムを用いた胃・大腸などの消化器管の検査や他にもX線に写る様々な薬剤を用いて尿路系、肝胆道系、脊髄等の検査も行なえます。一般撮影と同じくFPDを搭載しております。

■キャノンメディカルシステムズ マルチスライスCT 320列
幅広い検出器をもつ本機は従来装置に比べ、画質の向上、被ばくの低減、検査時間の短縮が可能であり、また頭部血管領域や心臓血管領域においては造影剤量も低減し、患者様への負担を減らすことを実現しました。

当院では、320列と80列の二台のマルチスライスCTが稼動しています。従来の頭部、胸部、腹部CTに加えて心臓(冠動脈)CTや脳血管CTなど三次元CTの件数が増加しています。
検査は、7〜10秒の息止めが必要で検査時間は約20分です。脳血管CTでは、複雑な脳血管をより立体的に観察するには造影剤を使用して静脈との重なりの少ない動脈像を得ます。
主に脳動脈瘤の有無、位置、サイズ・形状など。

■MRI
1.5テスラと3テスラの二台が稼動しています。
頭部・腹部・脊椎など人体の断層像をあらゆる角度で撮影できすべての領域の診断に欠かせない有用な装置です。
最近では、造影剤を用いて濃度や信号の経時的変化から脳循環を解析する検査法(MRパフュージョン)やMRIでの認知症検査(VSRAD)も増えつつあります。
VSRADとは、早期アルツハイマー型認知症診断支援システムの略語で、人の記憶に関する役目を果たす海馬の萎縮程度を評価するMRI画像処理、解析ソフトのことを言います。


認知症の画像を見ると、左の正常より黒い隙間が目立ち、脳が萎縮していることが分かります。
早期で軽度の萎縮の場合、通常のMRI検査では評価が難しいとされていました。VSRADでは脳の中でも記憶を担当する海馬がどの程度萎縮しているか、%表示し、萎縮程度をカラー表示することによって、軽度の萎縮も評価しやすくし、認知症の早期診断を補助することができます。

■RI(核医学検査)
きわめて微量の放射線を発生する「放射性医薬品」を体内に投与して特定の臓器・組織に集まる性質を利用し、そこから出る放射線を特殊なカメラを用いて画像にする検査で主に血流量や代謝機能を調べます。
◎脳血流シンチ・心筋シンチ・骨シンチ・腫瘍シンチなど。
NM/CT850は吸収補正用CT搭載SPECT装置です。患者様に投与したRI製剤から放出される、微量のγ線(ガンマ線)を収集した画像と、CT画像とをフュージョンし、高画質で精度の高い画像を提供します。

■心臓カテーテル検査
循環器科が扱う狭心症や心筋梗塞等の虚血性心疾患の患者さんの検査あるいは血管拡張術・ステント留置術・血栓溶解療法等の治療を行います。また不整脈科による心筋焼灼術(カテーテルアブレーション)も行われます。


■DSA(多目的用血管撮影)
この装置では頭部・頚部・腹部等全身の血管を造影することができます。X線信号をデジタル化し造影剤注入前と注入後の画像を差し引きし血管のみが鮮明に描出され少ない造影剤で検査ができリアルタイムで撮影像が見られます。
脳血管造影や腹部血管造影やシャント静脈造影とそれらの塞栓術や拡張術を施行します。














